关于节前种牙 你想了解哪些?参与苏报调查获冬日礼品!
临近年末,很多缺牙人在犹豫要不要在年前把摇摇欲坠的假牙换成新的,或者花点钱做更牢固好用的种植牙,但是他们有的对种牙机构的选择摇摆不定,有的对种植体品牌和型号的区别不甚了解,有的纠结用烤瓷牙冠还是全瓷牙冠,更多的想先和种牙经验丰富的医生可以面对面沟通一下再决定。
本期苏报开启年末缺牙人群求助调查,苏报会根据求助调查中市民反应的求助要求给予帮助,每一位接受调查市民也将获得由苏州美奥口腔提供的100元口腔治疗现金卡1张,可用于补牙、修复、种植等各个口腔治疗项目。详询苏报健康事业部读者咨询热线400-150-0001。 点击咨询详情
再活数十年 她要享受幸福生活
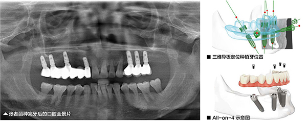
市民张者丽是苏州美奥口腔的一位种植牙顾客。她的牙病演化史有可能正是目前很多正在看报纸的市民正在经历的。40岁左右患上了牙周病,从小小的牙龈红肿出血开始,到松动,咀嚼无力,到疼痛难忍,数十年前整个社会的口腔保健意识都不强,忽视了治疗的张者丽牙齿一颗颗地脱落,到50岁时已经只能依靠活动假牙勉强吃东西了。
她说从前小姐妹叫她出去聚会,她在牙痛,叫她出去旅游,她还在牙痛。说到牙齿不好的那些日子,张者丽以人生的“长度”和“厚度”做了生动的比喻。现代人的寿命越来越长,我们的人生的长度被拉长了,可是如果牙齿不好,连最基本的吃饭都不能好好解决,甚至影响了幸福生活,那人生的厚度显然不够,很单薄。
她说:“我今年60岁,我不贪心,就算我能活到80岁吧,还有数十年,如果牙齿不好怎么办,数十年当中的每天都活得很痛苦,那活着还有什么意思。我们要爱子女,爱老伴,爱父母,但是在这之前,我们要爱我们自己,这样才能更好的爱别人。”

All-on-4助70岁老刘 从无牙到有牙
另一个和张者丽一样想让自己的晚年生活过得舒心点的是70岁的刘建华,他的缺牙情况比张者丽更加严重,上下颌没有一颗牙。由于老刘特别怕痛,需要尽更大的可能为老刘提供和快速的全口种植方案。苏州美奥口腔王汉禹院长为刘建华设计的方案是计算机三维专业导板辅助下的All-on-4即刻负重种植牙,当天种牙,当天戴整口牙,当天可以吃饭。
苏州美奥口腔依托集团医生和资源的优势,多年来积累了丰富的All-on-4即刻负重病例,并举办了苏州All-on-4即刻负重种植直播。而美奥口腔全国各个分店之间定期的病例沟通和学术分享,也让苏州美奥口腔在半/全口种植,种植等领域不断的进步,并发现更多能够让缺牙患者获得更好效果的种植治疗。
你的All-on-4半口种植 用上三维专业导板了吗?
如何在All-on-4的基础上再进一步提升半口种植的性呢?美奥口腔All-on-4即刻负重在术前为患者定制计算机三维专业种植导板,让种植专业度提升,种牙手术时间缩短,创口更小,创口暴露时间更短,术后恢复更快。
三维专业种植导板在种植手术前,利用三维重建软件,详细测量患者牙床的骨质密度、牙槽骨本身的高度、宽度等条件,测量出患者哪一块牙床骨条件好,适合植入人工牙根,哪一处骨量偏低,需要避开或进行植骨,并通过这些专业数据在计算机辅助下制作出手术中使用的导板。也就是说在真实手术前,医生就在计算机生成的三维影像上进行了一次种植手术预演,预先标注专业的种植位置,最终制作成一个种植导板。
患者在手术时,将导板佩戴在口腔内,医生可以根据导板上的标注位置确定种植位置,而不是通过传统的人眼目测,大大提高了种植的专业性和降低手术风险,手术时间大幅度缩短,降低了患者的痛苦,条件允许可实现微小切口、不翻瓣、无缝合的手术治疗。
缺牙人群 求助调查
1、您年纪多大了?
2、您有缺牙吗?缺几颗?有其他口腔问题吗?
3、您有什么业余爱好吗?
4、缺牙对您的业余爱好有什么影响吗?
5、您有通过什么办法来克服缺牙带来的痛苦吗?
6、如果您还有10—30年的寿命,您会选择种牙还是将就呢?
7、为什么您做出上述选择呢?
8、您对种植牙有什么顾虑吗?
9、如果苏报给您一个种牙方面的帮助,您想得到什么呢?
10、选择种植牙,您最在意的是什么?价格?品牌?医生?
拨打苏报健康事业部读者咨询热线回答以上调查问题,苏报会竭尽所能帮助提供调查结果的读者,联系医疗机构和医疗资源尽可能给予读者所需要的种植牙帮助,即日起——12月11日打进电话接受问卷调查的市民,可获得100元的口腔治疗现金卡1张,可用于各类口腔治疗和保健,礼品由苏州美奥口腔提供。
现金卡领取时间:12月8日——12月12日,过期作废,请在接受调查时告之工作人员真实姓名,详询苏报健康事业部读者咨询热线400-150-0001。 点击咨询详情
关注缺牙 电话解惑
本期关注
多颗、半/全口种植直通
本期医生
王汉禹(苏州美奥口腔院长)
周仲豪(苏州美奥口腔吴中机构主任)
关注人群
多颗,半/全口缺牙,想要利用三维专业导板提高种植性的市民
电话医生咨询可拨打:400-150-0001
备注:每日仅限10位直通医师门诊预约,同时这10位幸运读者可获得冬日温暖礼1份,电话医生咨询不受名额限制。 点击咨询详情




