这堂讲座让你知道矫正的真正原因
真正的生活爱好者是用笑容和健康证明自己对生活的热爱。
有人说,矫正牙齿只是为了改变脸型,变美而已。
而【整齐】根本无法对吃东西造成影响。
每当看到这种想法,我笑了。
变美是必然,但谁说牙齿矫正只是简单的要自己变美?
不信?
看看美奥的29号的这堂分享课
美奥口腔矫正分享会 分期付款0利率 变美的花费我能负担,矫正不仅堪比整容,还能够将一些疾病防患于未然。

不得不说,这是一个看脸的时代
如果要举行个爱美颁奖礼
肯定就是他们的
你看那么多的年轻人来听矫正分享

牙齿不齐不仅影响面型,也会因为不容易清洁口内残垢而易患龋齿、牙龈牙周炎症,甚至导致牙周病,造成牙骨萎缩牙齿脱落。

龋齿也就是蛀牙,是细菌性疾病可以继发牙髓炎和根尖周炎,甚至能引起牙槽骨和颌骨炎症。如不及时治疗,病变继续发展,形成龋洞,终至牙冠破坏消失,其发展的最终结果是牙齿丧失。所以大家在发现有蛀牙的时候要赶紧补牙,以免造成不必要的后果。

龋坏 牙周病
牙周病在早期不易察觉,主要的致病因素是牙齿表面的牙菌斑、软垢和牙结石。常见症状:牙龈炎症,出血,牙周袋形成,牙槽骨吸收,牙槽骨高度降低,牙齿松动,移位,咀嚼无力,所以遇到这种状况需要立即去齿科检查治疗。

△ 小朋友积极回答问题
你还觉得矫正只是为了美观吗?
牙齿矫正更重要的是考虑到功能健康方面!
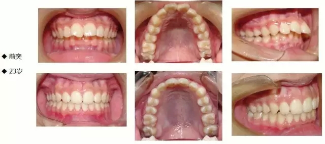
案例更有说服力


上面一排为矫正前,
后一排为矫正之后,
若患者配合医生,
遵照医嘱,
会大大减少矫正时间!
美奥用行动证明了:
在美观的同时从来不乏健康效率。
整齐美观 改善发音 调整颌骨发育 调整咬合关系 改善咬合功能 缓解牙龈 牙周炎症
美奥会一直追踪服务!
而你,认真对待生活的人,生活也一定会对他给予丰厚的回报。
比如
牙齿美了 笑容温暖 瞬间运气来了
工作、恋爱、健康、口福...
一切都是连锁效应、随之而来!
矫正选什么牙套好?
无疑是医生正在介绍的隐形矫正↓

隐形矫正是可预测治疗结果的舒适型治疗方案
它采用近乎隐形的材料科技
摘戴方便 且易于清洁
在这个快节奏的社会减少复诊次数
让您在治疗期间维持原有的生活方式

你看得出来我戴牙套了吗?
现场人手一份伴手礼 还有抽奖 相信参与的你已经拿到了
咖啡券、牙套清洗机
迪卡侬包包、DSD矫正取模卡
新患者、老患者
人手一份!


现场抽奖

美女总是和美女投缘
SO~
金海华赫本餐厅388套餐
和闺蜜一起享用吧

电动牙刷
被下面这个帅哥领走了

等等
别急着走
今天有一个重要消息要发布:
在美奥进行矫正可以分期付款!
0利息!
你的第一副隐形牙套 美奥免费送给你哦!
零利息,分6-12月还,每个月支付低至658元
你觉得牙齿不美的你
有理由说不吗?!





