苏城首场亲水种植圆满落幕|3D导板助力,高精种植不受罪
苏州开启了漫长而湿润的梅雨季,大雨依旧没有阻挡市民对苏城首场亲水种植直播的渴望。6月23日,多位老人齐聚苏州美奥口腔湖东机构,观摩了苏城首场亲水种植牙直播全过程。邹女士作为苏报亲水种植牙直播案例志愿者,全程分享她的亲水种植牙手术直播。
案例介绍
邹女士,67岁
5年前邹女士下颌左右两边的磨牙出现缺损问题,但只修复左边牙齿,做了烤瓷牙。时间久了致使牙根断裂。
下午13:30分,苏城的市民们陆陆续续来到美奥口腔,入座等待直播开始。苏州美奥口腔湖东机构王汉禹院长亲自操刀苏城首场亲水种植牙手术。

在全面的口腔结构及骨质情况扫描后,王汉禹院长为饱受牙齿口腔困扰的叔叔阿姨们,就志愿者邹女士的牙片具体分析了其牙齿问题:因邹女士长期使用安装烤瓷牙的左侧吃饭咀嚼,时间一长牙根开始疼痛到不能忍受,来就诊一检查是牙根断裂了。他提醒老年人在进行口腔保健和治疗时不要图一时的方便便宜,要从长期治疗效果考虑。
苏城首场亲水种植牙手术直播正式开始!

美奥口腔种植冯医生为大家讲解具体手术细节

亲水种植牙高精种植 3D导板科技助力亲水种植牙
邹女士在术前取模量身定制的3D高精种植牙导板,目的就是大大提高治疗的高精度和性。医生在手术时将导板佩戴在口腔内,帮助医生定位种植位点,加快手术速度,降低术后不适。

种植时长20分钟左右,亲水种植牙直播结束。之后现场的老人根据自己身体状况、牙齿问题现场向医生提问及咨询。


现场咨询不断,美奥口腔种植科医生为大家解除心中的疑惑。一位阿姨说出了自己担心已久的问题。
自己身体不太好,还有骨质疏松,种牙会不会难度更大呢?
答:在座的阿姨和叔叔可能都有这方面的顾虑,不过美奥口腔采用的是亲水种植技术,尤其是夏季,天气炎热,想要提高种植牙的成功率,需要在骨结合和抗炎症方面有明显优势的种植牙治疗,亲水种植就是这一种。
那亲水种植体与传统种植体相比,优势是什么?
1、亲水种植体不同于传统种植体,亲水种植牙可实现更短的愈合周期。活性亲水种植体独特的表面处理,可使种植体在血液循环的作用下,迅速的与牙槽骨牢固结合,以其快速的骨结合过程及快速成骨过程,缩短愈合时间;
2、无时差骨结合,提高成功率,可在植入的第一时间产生骨结合,使一些患有骨质疏松、糖尿病等身体不佳的患者也能成功种植,扩大种植治疗适应症范围;
3、更安全,更长久。独特的软组织封闭功能,阻止细菌侵入和骨吸收,保障种植体的长久稳固。

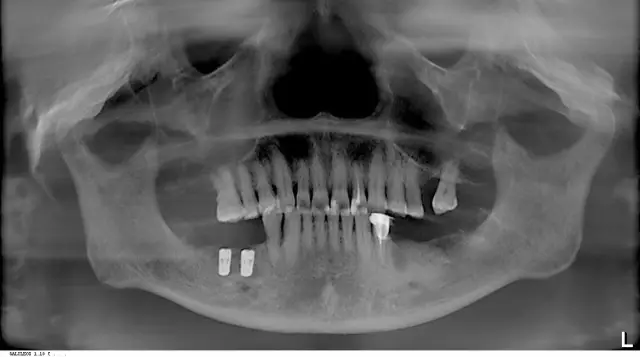
邹阿姨拔牙、种植后的牙片(先种一边,下次再种另一边)
志愿者邹女士在现场与大家进行交流分享。她说:“对于老年人,还是要及时享受生活,经过之前牙齿不好的经历,才明白牙齿很重要,缺了牙还是种植比较好”。现场的叔叔阿姨在拍片检查后听取了专业医生的治疗建议和方案后纷纷表示,老年人治疗牙齿,真的要选择不受罪的亲水种植牙,健康享受更好的生活!




